インビザライン治療(マウスピース矯正)で対応できないケースを紹介している他、インビザライン治療と他の治療方法を併用して対応した事例も掲載しています。
歯周病が進行している方は歯を支える組織が弱くなっているため、矯正の負荷で歯が動きすぎたり、歯周病が悪化したりする恐れがあるため、インビザライン治療ができません。まずは歯周病治療を優先し、状態が改善してからインビザライン治療を始める必要があります。
叢生(そうせい)とは、歯が重なり合って生えている状態です。軽度の叢生はインビザライン治療で対応できることもありますが、症状がひどい場合は歯を大きく動かす必要があり、インビザライン治療だけでは対応できない可能性があります。
受け口(下顎前突)は、下の歯が上の歯よりも前に出ている状態です。軽度の受け口はインビザライン治療で対応できることもありますが、重度の受け口や顎の骨の問題が関わっている場合、インビザライン治療だけでは対応できません。歯の生え方ではなく骨格に問題がある場合、外科的な治療が必要になります。
出っ歯(上顎前突)とは、上の歯が下の歯よりも前に突き出している状態です。歯が傾いて生えている軽度の出っ歯の場合、インビザライン治療で対応できることもありますが、上の歯が大きく前に出ている場合や上顎・下顎の骨格に問題がある場合、インビザライン治療だけでは対応できません。
過蓋咬合(かがいこうごう)は、奥歯を噛み締めたときに上の歯が下の歯を覆い被さり、下の歯が見えない状態です。過蓋咬合の原因は、過度な成長で長くなった上顎や、もともと小さい下顎など、骨格に問題があるケースが多いため、歯並びを整えるインビザライン治療だけでは対応できません。
歯を並べるスペースが少ない場合、抜歯をしてスペースを確保してから歯を動かすのが一般的です。インビザライン治療は歯を動かせる範囲が限られているため、抜歯の数が多いと歯を動かす範囲が広くなり、対応できない可能性があります。
インビザライン治療は歯にフィットするマウスピースを装着して、負荷をかけながら歯を動かす矯正治療方法です。歯が埋状している(歯茎に埋まっている)場合、マウスピースがフィットしないため、インビザライン治療では対応できません。
インビザライン治療は、マウスピース装置で歯に負荷をかけ、歯根膜という膜を収縮させることで歯を移動させます。インプラント治療を行うと歯根膜が失われてしまうほか、歯根部分(スクリュー)が顎骨に固定されているため、力を加えても動きません。
インビザライン治療はあくまでも歯並びを整えるためのものです。顎の骨格に大きなずれがある場合、インビザライン治療だけでは対応できません。骨を移動させる外科手術が必要になります。
舌側転位とは、定の歯が他の歯に比べて内側にある状態を指します。インビザライン治療だけで無理に動かそうとすると歯髄壊死を起こすリスクが高いため、他の矯正治療付お方を併用するのが一般的です。
重度の不正咬合や大きな歯の移動が必要な場合、インビザライン治療だけでは対応できない可能性が高いです。しかし、インビザラインと従来のワイヤー矯正を併用すれば対応できるケースもあります。併用治療は、ワイヤー矯正で歯を大きく動かした後に、インビザライン治療で微調整する流れです。顎骨の異常が原因となる場合は、外科手術を行った後、必要に応じてインビザライン治療を行います。
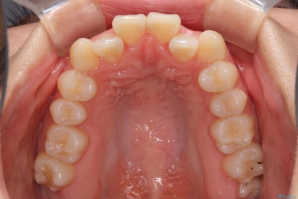
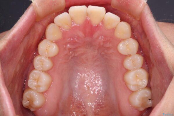
上の真ん中から2番目の歯が、他の歯よりも内側にある状態(舌側転位)だったため、インビザライン治療だけで無理に動かそうとすると歯髄壊死を起こすリスクが高いと判断。上顎前歯をワイヤー矯正で整えてから、全体をインビザライン治療で調整した事例です。
| 治療内容 | ワイヤー矯正を併用し、リスクを回避しながらのインビザライン矯正治療 |
|---|---|
| 概算治療費 | 950,000円(※税不明・費用は治療当時の料金) |
| 治療回数 | 10~30回 |
| 治療期間 | 1年9ヶ月 |
| 一般的な副作用・リスク | 口腔内・歯並びの状態によっては対応できない場合がある。 マウスピース型矯正装置の長時間装着が必須。 治療計画通りに進めるためには患者様の意志が重要。 矯正治療後の保定が不十分だと後戻りが生じる。 自費診療(保険適用外)。 ※薬機法対象外の矯正歯科装置のため医薬品副作用被害救済制度の対象外となる場合がある。 |
山形市で矯正治療を検討する際は、自分の目的に合った治療を提供してくれるクリニックを選ぶことが大切です。クリニックごとに得意とする矯正治療や対応できる症例が異なるため、気になる点や疑問はカウンセリング時に確認し、納得のうえで治療を進めましょう。
当サイトでは、山形市内で矯正治療を行う歯科クリニックを目的別にご紹介しています。治療の種類や特徴を比較しながら、自分に合うクリニック選びの参考にしてください。

調査した山形市のマウスピース矯正クリニックの中で最多の実績※1がある歯科クリニック。豊富な経験と高い技術を活かし、患者に合わせて歯を計画通りに動かす治療を行います。
| 所在地 |
|---|
| 山形県山形市嶋北4-2-33 (ヨークタウン嶋) |
| 駐車場 |
| ショッピングモール共用120台 |
| 営業時間 |
| 月曜~土曜:8:30~17:00 |

患者の感覚に頼らない、ミクロ単位のかみ合わせ治療。県から指定自立支援医療機関・顎口腔機能診断施設※2に指定を受けており、顎変形症に対しての矯正治療・手術はすべて保険適応。
| 所在地 |
|---|
| 山形県山形市旅篭町3-3-45 |
| 駐車場 |
| 11台 |
| 営業時間 |
|
月曜・火曜・水曜・金曜: 8:30~13:00、14:00~18:00 土曜:8:30~13:00、14:00~16:00 |

幼少期からの予防的な矯正や抜歯をしない床矯正にも対応。
健康な永久歯を育てるために後戻りしない矯正治療のタイミングから食生活までサポート。
| 所在地 |
|---|
| 山形県山形市馬見ヶ崎1-2-3 |
| 駐車場 |
|
診療所前7台 近くの契約駐車場7台 |
| 営業時間 |
|
月曜~木曜: 9:00~12:30、14:00~18:00 土曜:9:00~13:00、14:00~16:00 |
※1 2025年1月14日 山形市の矯正歯科50院を調査し、実績を掲載していたクリニックの中で最多の2024年のインビザライン症例数39件 累計197症例(2020年6月~2024年12月) 参照元:タクヤデンタルクリニック公式HP(https://invisalign-yamagata.com/)
※2 2025年1月14日 調査時点 参照元:ごとう歯科・矯正歯科クリニック公式HP(https://www.goto-smile.com/adult/)